10 years of cooperation between Examion and Wilhelma Stuttgart – Exotic case
The partnership between EXAMION and the Wilhelma Zoological and Botanical Gardens in Stuttgart has been in place since 2016 and is characterized by close, practical cooperation. Since then, the veterinary department at Wilhelma has regularly purchased modern X-ray technology from EXAMION:
2018: Provision of a CR VITA Flex scanner
2020: Addition of an initial processing station
2023: Delivery of an X-DR Portable Bag L WiFi
2024: Replacement with a new detector with combi server
In return, Wilhelma regularly provides EXAMION with case studies from the zoo animals. These include the history and abnormalities of the respective animal, as well as the findings from the X-ray images and the subsequent treatment measures.
Four current cases will be used to demonstrate the diverse applications of X-ray technology in veterinary medicine and, at the same time, to highlight the relevance of radiological examinations for the diagnosis and treatment of various animal species.


Case 1: Asian elephant
The elephants at Wilhelma undergo a comprehensive health check every year. The elephant cow Pama (born in 1966) has had a chronic hoof abscess for decades, which is checked annually by X-ray images of the hooves.
Thanks to intensive therapy measures with daily foot care, the inflammation has been well controlled. Fortunately, this year's images showed no progression of the disease – a positive sign for the effectiveness of the treatment.


Case 2: Babirusa
The male deer Kendari (born in 2009) first showed signs of abnormality in the summer of 2024: reduced food intake and a curved posture. Due to his trustfulness, he could be X-rayed in a standing position without sedation. The digital images showed pronounced spondylarthrosis along the spine.
Despite targeted pain therapy, his condition deteriorated within a few days, so that after intensive consultation, euthanasia was performed. The subsequent autopsy revealed that, in addition to the arthrosis, there was a far-advanced spindle cell sarcoma with numerous metastases in the body, although the fallow deer had shown no previous symptoms in this regard.


Case 3: Common wombat
Wombat Windemere (born in 2020) suffered from diarrhea, loss of appetite, and balance problems in the fall of 2024. After unremarkable laboratory findings, a comprehensive examination was performed under inhalation anesthesia, including an X-ray of the abdomen. The findings showed a high accumulation of gas in the gastrointestinal tract. The diagnosis: dysbiosis (imbalance in the intestinal flora). A change in diet from sweet potatoes to fiber-rich bamboo, as well as vitamin supplements, brought about a rapid improvement—Windemere was back to health a few days later and was allowed to return to his partner Wendy in the enclosure.


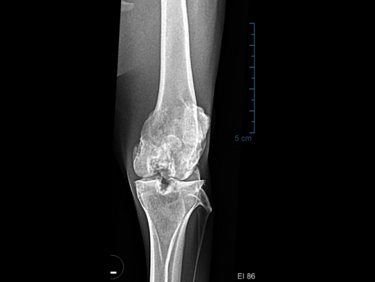
Case 4: Mara
In October 2024, Mara-Dame Orls (born 2022) showed significant lameness in her left hind leg and a sawhorse stance. In collaboration with a specialist veterinarian from the Ludwigsburg-Oßweil Small Animal Clinic, an examination was performed under anesthesia. The X-ray revealed osteoarthritis of the left knee joint. A fine needle aspiration was performed to rule out a tumor – with negative results. Nevertheless, her condition continued to deteriorate: withdrawal, loss of appetite, and immobility despite pain therapy. After careful consideration of various options, euthanasia was ultimately unavoidable. The autopsy revealed severe osteochondrosis dissecans with chronic arthritis and synovitis.
